...

Dr. Helioenai Alencar

Neurocirurgião

Goiânia, Brasília, Aparecida de Goiânia
Marcar uma visita Entre em contato

Informações sobre mim

Poucas palavras...

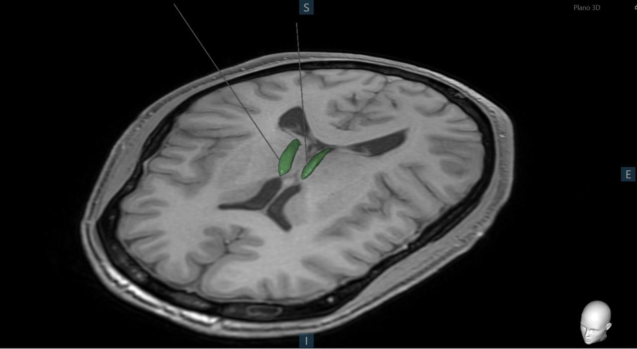
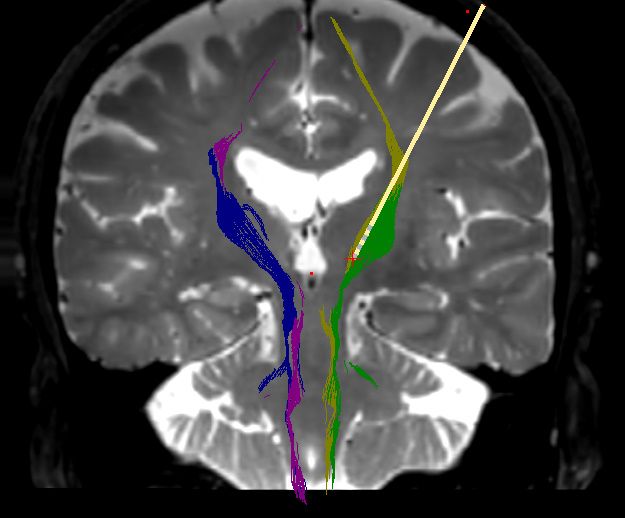
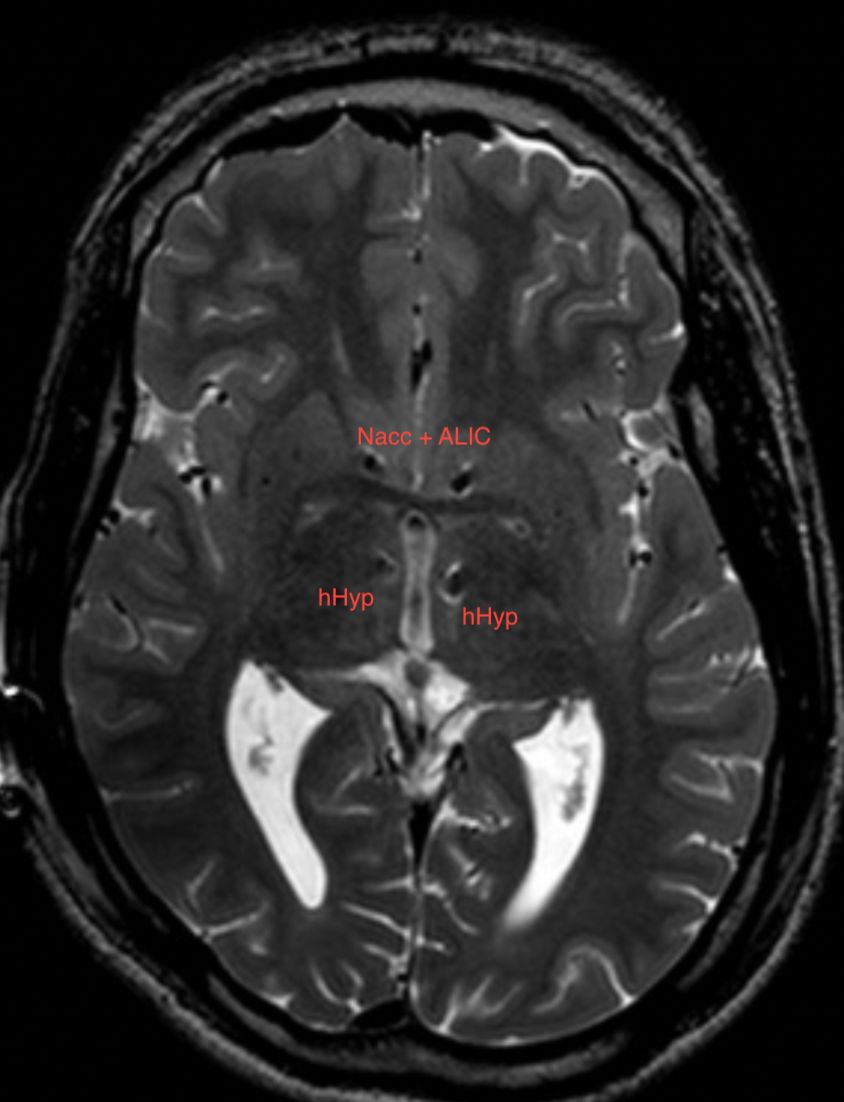
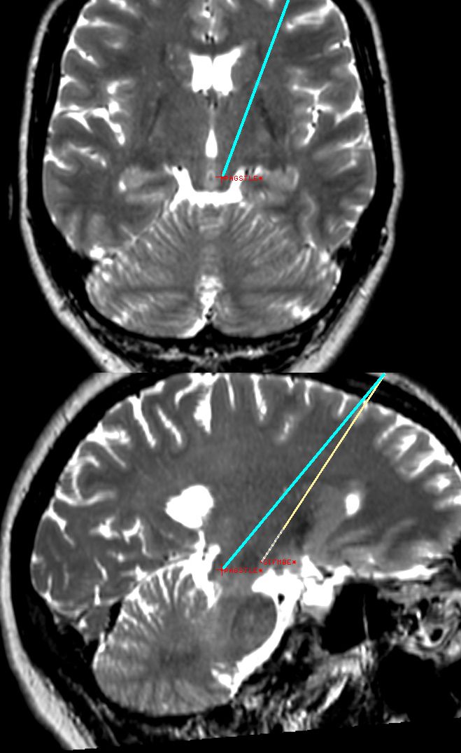
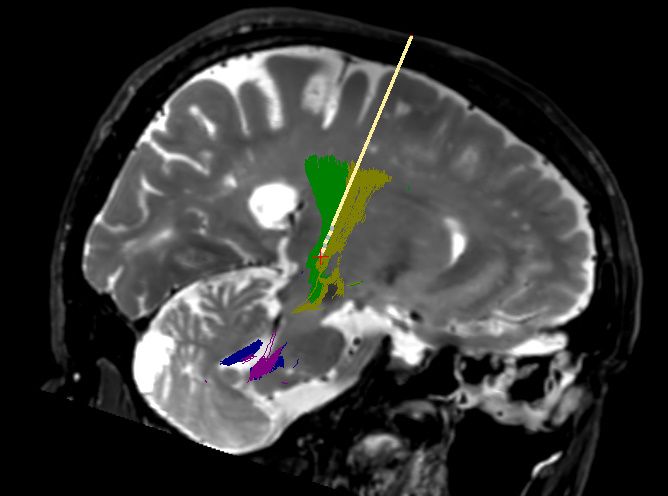
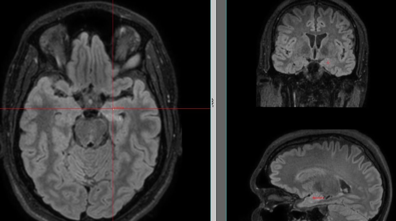
Neurocirurgião funcional. Subespecializado em distúrbios de movimento (Parkinson e tremores), epilepsia cirúrgica e dor, além de cirurgia para transtornos psiquiátricos. 

Especialidades
  • Neurocirurgia Funcional
  • Dor
  • Rizotomia Dorsal Seletiva
  • Cirurgia da epilepsia
Número de registro
  • CRM: 20127
  • RQE DE NEUROCIRURGIÃO (NÃO ENCONTRADO)
Formação
  • Universidade federal de Goiás
  • Universidade de São Paulo
Idiomas
  • Inglês
  • Português
Publicações
  • Semidirect targeting–based stereotactic mesencephalotomy for the treatment of refractory pain: a case series (https://doi.org/10.3171/2021.6.JNS21709)
  • Endoscopic endonasal approach for acromegaly: surgical outcomes using 2018 consensus criteria for remission
  • Endoscopic endonasal approach for isolated subarachnoid neurocysticercosis in basal cisterns and its complications: illustrative case
  • índrome de Tourette: Aspectos Clínicos e Cirúrgicos
  • Dentre outros ...
Doenças tratadas
  • Abscesso Encefálico
  • Abscesso Epidural
  • Angioma Venoso Do Sistema Nervoso Central
  • Cefalalgias Trigêmino-Autonômicas
  • Cervicalgia
  • Ciática
  • Cistos De Tarlov
  • Cistos Aracnóides
  • Cistos Do Sistema Nervoso Central
  • Cistos Ósseos Aneurismáticos
  • Compressão Da Medula Espinal
  • Convulsões
  • Dano Encefálico Crônico
  • Degeneração Walleriana
  • Deslocamento Do Disco Intervertebral
  • Derrame Subdural
  • Discinesias
  • Distonia
  • Doença de Parkinson
  • Doenças Da Coluna Vertebral
  • Doenças Da Medula Espinal
  • Doenças Do Nervo Trigêmeo
  • Doenças Do Sistema Nervoso
  • Doenças Talâmicas
  • Dor nas costas
  • Epilepsia
  • Epilepsia Generalizada
  • Epilepsia Do Lobo Temporal
  • Epilepsia Do Lobo Frontal
  • Epilepsia mioclônica juvenil
  • Epilepsia Motora Parcial
  • Epilepsia Parcial Contínua
  • Epilepsia Parcial Sensorial
  • Epilepsia Tônico-Clônica
  • Epilepsia Pós-Traumática
  • Epilepsias Parciais
  • Epilepsias Mioclônicas
  • Epilepsia Reflexa
  • Estenose Espinal
  • Fraturas Cranianas
  • Fratura Do Crânio Com Afundamento
  • Fraturas Da Coluna Vertebral
  • Glioblastoma
  • Glioma
  • Hemangioblastoma
  • Hemangioma cavernoso
  • Hematoma Subdural
  • Hematoma Subdural Crônico
  • Hemorragia Cerebral
  • Hemorragia Dos Gânglios Da Base
  • Hemorragia Encefálica Traumática
  • Hemorragia Do Tronco Encefálico Traumática
  • Hemorragia Cerebral Traumática
  • Hemorragia Retrobulbar
  • Hemorragias Intracranianas
  • Hemorragia Subaracnóide
  • Hérnia de disco
  • Hidrocefalia De Pressão Normal
  • Hidrocefalia
  • Hipertensão Intracraniana
  • Lombalgia (dor lombar)
  • Malformação De Arnold-Chiari
  • Manifestações Neurológicas
  • Meningioma
  • Neoplasias Da Coluna Vertebral
  • Neoplasias Encefálicas
  • Neoplasias Dos Nervos Cranianos
  • Neuralgia
  • Paraplegia
  • Síndrome De Brown-Séquard
  • Síndrome Do Túnel Ulnar
  • Trauma Craniocerebral
  • Traumatismos Cranianos Fechados
  • Traumatismos Cranianos Penetrantes
  • Traumatismos Da Medula Espinal
  • Traumatismos Da Coluna Vertebral
  • Traumatismos Encefálicos
  • Tremor
  • Tumor cerebral
  • Tumores cerebrais
  • Dor na coluna
  • Síndrome do túnel do carpo
  • Síndrome do túnel carpal
  • Síndrome do túnel do tarso
  • Síndrome do túnel cubital
  • Meralgia parestésica
  • Síndromes compressivas
  • Neuropatias dos membros superiores
  • Neuropatia mediana
  • Neuropatias ulnares
  • Síndrome de klippel feil
  • Ansiedade
  • Depressão
  • Síndrome do pânico
  • Neuropatias
  • Nevralgia do trigêmeo
  • Blefaroespasmo
  • Tumores da medula espinhal
  • Meduloblastoma
  • Dor retal crônica
  • Dor neuropática
  • Espondilolistese
  • Estenose de canal vertebral
Redes sociais

Marcar uma visita

Consultorio em neurocirurgia funcional - Neumodulação Geral

Praça Gilson Alves de Souza 140
74210-098 Goiânia, Goiás GO
Ligar ao especialista

Selecionar a data conveniente e marcar uma consulta!

Dr. Helioenai Alencar – Neurocirurgia Online | Dor, Parkinson e Tremor



Ligar ao especialista

Selecionar a data conveniente e marcar uma consulta!

Consultorio em Neuromodulação

Via L2 Sul
70200-760 Brasília, Distrito Federal DF
Ligar ao especialista

NEUROCIRURGIA GERAL

Rua EM 1 VILA SUL
74910-520 Aparecida de Goiânia, Goiás GO
Ligar ao especialista

Preço

Lesao Da Substancia Gelatinosa Por Radio Frequencia individualmente
Estimulador do nervo vago VNS individualmente
Escalas de dor individualmente
Discectomia Por Via Posterior individualmente
Descompressao Neurovascular De Nervos Cranianos individualmente
Derivação Ventrículo - Peritoneal (DVP) individualmente
Denervação facetária individualmente
Craniotomia Para Tumor Cerebral Inclusive Da Fossa Posterior individualmente
Craniotomia Para Tumor Cerebral Da Convexidade individualmente
Glioma individualmente
Hipofisectomia Por Radio Frequencia individualmente
Laminectomia Para Tumores Epidurais individualmente
Laminectomia Para Tumor Intraraquiano individualmente
Instalacao De Halo Craniano individualmente
Infiltração Foraminal individualmente
Implante Intratecal De Bomba De Infusao De Farmacos individualmente
Implante De Estimulador Medular individualmente
Implante De Eletrodo Para Estimulação Cerebral individualmente
Implante de eletrodo medular individualmente
Craniotomia Para Cistos Encefalicos individualmente
Craniotomia Para Abscesso Cerebral individualmente
Cranioplastia individualmente
Bloqueio na coluna individualmente
Bloqueio Do Sistema Nervoso Autonomo individualmente
Bloqueio de nervo periférico individualmente
Bloqueio Anestesico Do Simpatico Por Dia Subsequente individualmente
Bloqueio Anestesico Do Simpatico Em Qualquer Nivel individualmente
Bloqueio Anestesico De Nervo Por Dia Subsequente individualmente
Biopsia Da Medula Espinhal individualmente
Biópsias individualmente
Bloqueio para tratamento de dor individualmente
Cirurgia da fistula liquorica espontanea individualmente
Cordotomia / Mielotomia Por Radio Frequencia individualmente
Consulta de avaliação para neuromodulação individualmente
Consulta com especialista em coluna individualmente
Cirurgia para tumores cerebrais individualmente
Cirurgia do crânio individualmente
Cirurgia de tumor na coluna individualmente
Cirurgia de hernia de disco individualmente
Cirurgia de hernia individualmente
Atendimento em traumatismo craniano individualmente
Microcirurgia Cerebral Endoscopica individualmente
Consulta neurocirurgia individualmente
Tratamento da dor crônica individualmente
Tratamento da dor individualmente
Tratamento da doença de Parkinson individualmente
Tratamento conservador para traumatismo raquimedular individualmente
Tratamento clínico da dor individualmente
Tratamento Cirúrgico da Doença de Parkinson individualmente
Tratamento Cirurgico De Hernia Discal Cervical individualmente
Tratamento Cirurgico Da Hernia Discal Dorsal individualmente
Tratamento da epilepsia individualmente
Tratamento da neuralgia do trigêmeo individualmente
Primeira consulta neurocirurgia individualmente
Tratotomia E Nucleotomia Do Tronco Cerebral individualmente
Tratamento para tremores individualmente
Tratamento para traumatismo da coluna vertebral individualmente
Tratamento para dor crônica individualmente
Tratamento Microcirurgico Do Canal Vertebral Estreito individualmente
Tratamento meralgia parestésica individualmente
Tratamento de hérnia de disco individualmente
Tratamento Cirurgico Da Fratura Do Cranio Com Afundamento individualmente
Tratamento Cirurgico Da Epilepsia Temporal individualmente
Tratamento Cirurgico Da Epilepsia individualmente
Microcirurgia Para Tumor Encefalico (Profundo) individualmente
Microcirurgia do tumor medular com laser individualmente
Microcirurgia Do Tumor Medular Com Aspiracao Ultrassonica individualmente
Microcirurgia do tumor cerebral com laser individualmente
Microcirurgia De Tumor Medular Por Cancer individualmente
Microcirurgia De Tumor Medular individualmente
Microcirurgia De Tumor Intradural individualmente
Microcirurgia De Tumor Cerebral individualmente
Microcirurgia Para Tumores Da Base Do Cranio individualmente
Neurectomia Ao Nivel Da Coxa individualmente
Tractomia Trigeminal individualmente
Programação eletrodo medular e cerebral individualmente
Neurotomia Seletiva Do Trigemio E Outros Nervos Cranianos individualmente
Neurotomia Retrogasseriana individualmente
Neurotomia Por Via Infratentorial individualmente
Neurotomia Diferenciada No Trigemio individualmente
Neurotomia individualmente
Neurectomia Do Infraorbitario individualmente
Microcirurgia Da Hernia Discal Lombar individualmente
Artrodese da coluna lombar por via anterior individualmente
Descompressão do Túnel do Carpo individualmente
Infiltração da coluna individualmente
Biopsia De Nervo individualmente
Artrodese da coluna com instrumentacao por via anterior individualmente
Retorno de consultas Neurocirurgia individualmente
Cirurgia da sindrome compressiva em tunel osteofibroso do carpo individualmente
Microcirurgia Vascular Medular individualmente
Rizotomia percutânea por radio frequência individualmente
Rizotomia dorsal seletiva individualmente
Retirada De Material De Sintese Da Coluna Vertebral individualmente
Teleconsulta individualmente

Opiniões dos pacientes

Ótimo profissional, super atencioso Da pra ver que ele ama oque faz e não é só pelo dinheiro
Paciente
Paciente
Dr. Helioenai é humano e demonstra isto durante todo o atendimento. Muito cuidadoso e consciencioso no seu diagnóstico. Ficamos, meu marido e eu, muito satisfeitos. O tratamento prosseguirá e estamos confiantes que Deus nos colocou em boas mãos.
Paciente
Paciente
Excelente profissional. Colega de especialidade com formação médica e neurocirúrgica exímias. Confiei minha avó nas mãos dele e a cirurgia não poderia ter sido melhor. Desejo muito sucesso.
Paciente
Paciente
Explicou com muita paciência e detalhes o diagnóstico
Paciente
Paciente
Profissional excelente e muito empático com o paciente. Recomendo muito!!
Paciente
Paciente
Ótimo profissional, assim continuo com os tratamentos por me sentir bem segura.
Paciente
Paciente
Um profissional ímpar, dedicado, estudioso além de ser humano iluminado por Deus. Muito obrigado pela cura da Patrícia. Deus lhe abençoe Dr. Hélio.
Paciente
Paciente
Em um dos momentos mais difíceis que nossa família já enfrentou, com meu pai em estado grave na UTI, tivemos a sorte de ter auxílio informacional do Dr. Helio, que foi muito além da técnica. Por pura humanidade, quando ainda nao precisávamos de consulta, ele avaliou aos exames e a situação do meu pai. Enquanto estávamos perdidos, inseguros e, infelizmente, sem o suporte necessário por parte da própria equipe da UTI, ele foi um verdadeiro anjo: esclareceu dúvidas, analisou o quadro com responsabilidade e nos trouxe orientação e conforto em um momento de extrema angústia. A postura demonstra não apenas excelência profissional, mas um compromisso genuíno com a vida e com o ser humano. Gratidão eterna por essa atitude nobre, ética e profundamente humana. Que Deus retribua em dobro!
Paciente
Paciente
Foi pontual, tranquilo, pediu alguns. Exames, agora estou tentando fazer.
Paciente
Paciente
Consulta de retorno, profissional acolhedor, boa comunicação.
Paciente
Paciente
Foi bem esclarecido tiramos todas dúvidas que tínhamos sobre a saúde da minha irmã muito obrigada
Paciente
Paciente
Nota 10 profissional muito atento e claro no seu atendimento
Paciente
Paciente
Médico muito atencioso e prático. Porém o atendimento não seguiu a hora marcada, consulta agendada para as 14h porém só fui atendida 15h
Paciente
Paciente
Muito bom! Um profissional que entende e explica bem.
Paciente
Paciente
Muito atencioso, tirou minhas dúvidas, e simpático.
Paciente
Paciente
Esclareceu todas as minhas dúvidas, foi muito atencioso
Paciente
Paciente
Dr. Helionar ótimo profissional e acima de tudo um atendimento humano.
Paciente
Paciente
Ótima consulta, gostei muito do Dr. Ótimo atendimento das recepcionista
Paciente
Paciente
Atencioso, educado e muito claro em suas explicações. Quando ele me disse algo que nao entendi ele foi super educado em me explicar novamente. Muito obrigada Dr. Por todo sua atenção
Paciente
Paciente
Trabalho com eficiência e tem conhecimento de causa
Paciente
Paciente
Gostei do atendimento médico, bem atencioso e que bastante agradável na maneira de das explicações
Paciente
Paciente
Exelente médico. Tem identimento em tudo sobre sobre o que estou sentindo.
Paciente
Paciente
Local de fácil acesso pra consulta,ótimo médico, muito atencioso
Paciente
Paciente
Foi minha primeira consulta para acompanhamento pós cirurgia, excelente profissional, me senti à vontade para tirar todas as dúvidas que foram esclarecidas com êxito.
Paciente
Paciente
Gostei muito, foi pontual e atencioso , a clínica que é cheia. Mas ele é muito bom
Paciente
Paciente
Ótimo atendimento! Me explicou muito bem sobre o tratamento, passou exames! Gostei muito.
Paciente
Paciente
Cheguei ao consultório dele bem fragilizada, com muita dor e medo. É um médico extremamente humano, acreditou na minha dor e hoje estou em tratamento. Já fiz uma cirurgia cerebral com ele, sem nenhuma complicação ou sequela, sou muita grata a esse médico que está sempre disposto a atender de uma maneira assertiva e empática os seus pacientes
Paciente
Paciente
Melhor neurocirurgião, médico e ser humano que já conheci! Super recomendo!!!
Paciente
Paciente
Muito educado com idosa, ótimo atendimento, prestativo. Obrigado Dr.
Paciente
Paciente
Ótimo atendimento,atencioso,se preocupa com o bem estar do paciente.super indico,excelente profissional
Paciente
Paciente
Dr Helioenay, humano, íntegro, educado, generoso, paciente e excelente profissional.
Paciente
Paciente
Deus me presenteou com esse ser humano incrível que e o Dr só tenho a agradecer tudo que ele tem feito pela vida do Rodrigo
Paciente
Paciente
...

Quer agendar uma consulta?

Marcar uma visita Entre em contato